放射腫瘤科
醫療項目SERVICE
影像導引放射治療
影像導引提升放射治療精準度
影像導引技術能提升放射治療精準度
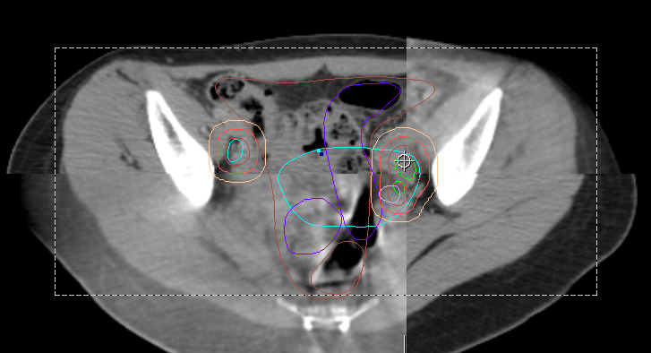
治療擺位、呼吸起伏或是內部器官移動都是可能造成照射誤差的因素,為提升放射治療精準度,可於放射治療時運用影像導引電腦斷層影像(Cone beam CT),搭配影像融合技術即時進行校正,更精準地照射治療靶區並且降低附近正常器官照射,以達到良好腫瘤控制率並降低放射治療相關副作用的功效。
(下方圖片案例:攝護腺癌、婦癌、肺癌、頭頸癌影像導引放射治療,提升放射治療精準度,並且降低鄰近正常器官照射劑量)。
案例一 攝護腺癌影像導引放射治療

案例二 婦癌癌骨盆影像導引放射治療

案例三 骨盆淋巴結影像導引放射治療

案例四 肺癌影像導引放射治療

案例五 頭頸癌影像導引放射治療


