放射腫瘤科
醫療項目SERVICE
立體定位放射治療
立體定位放射治療(SABR或SBRT)適用於身體部位腫瘤,搭配立體定位技術的極高精準度放射治療技術。
立體定位放射治療(SABR或SBRT)適用於身體部位腫瘤,是搭配立體定位技術的極高精準度放射治療技術。
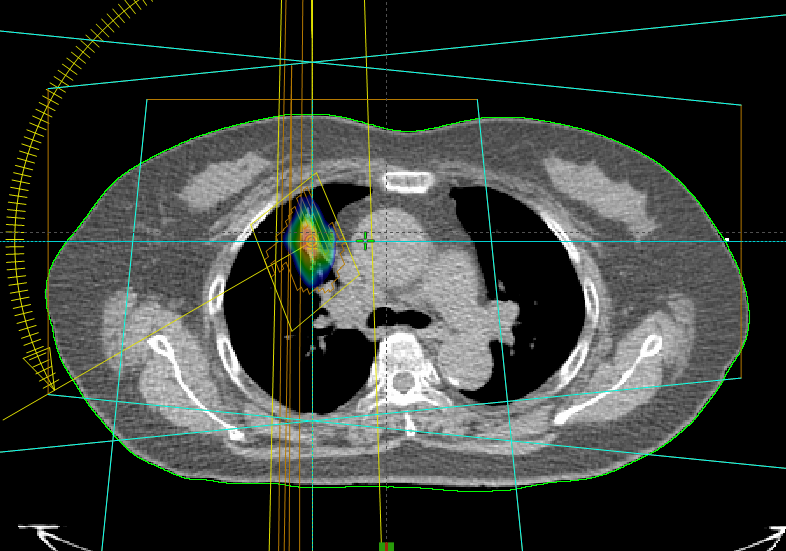
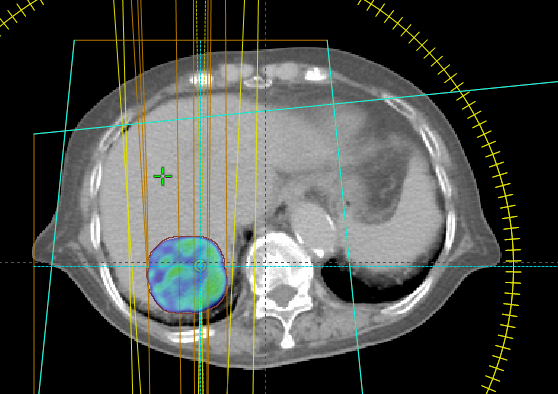
立體定位放射治療技術的特點是極高精準度,治療療程為高劑量、少次數。因為治療次數少,治療天數大幅縮短;因為極高精準度及單次劑量高,治療副作用輕微且療效佳(臨床適用於早期肺癌、肝腫瘤或低數量轉移、腦部轉移或腫瘤、或是轉移腫瘤,詳細相關適應症需諮詢放射腫瘤科醫師),下方案例為早期肺癌及肝腫瘤立體定位放射治療。
案例一 早期肺癌立體定位放射治療

案例二 肝腫瘤立體定位放射治療


